Scoliosis
Finding out your child or teen may have scoliosis can be worrying — but most cases are mild and manageable. Early diagnosis, regular monitoring and the right treatment plan can make a big difference. Here’s a clear, concise guide which includes what scoliosis is, how it is diagnosed and the role of physiotherapy in helping to manage it.
What is scoliosis?
Scoliosis is when the spine curves sideways and twists, creating an “S” or “C” shape. The most common type is adolescent idiopathic scoliosis, meaning it appears during growth and has no known cause.

Scoliosis can also develop due to other conditions, such as neuromuscular disorders, congenital spinal malformations, or underlying syndromes — though these forms are less common.
Who does it affect?
- Most cases appear between ages 10–18.
- Around 1–3% of young people have scoliosis, and most curves remain mild.
- Girls are more likely than boys to have curves that progress.
- Many children with mild scoliosis have no pain and continue all normal activities.
- In fact quite often, we pick a scoliosis up when we’re assessing a child for something completely unrelated!
How is scoliosis diagnosed?
Scoliosis is usually picked up during a clinical examination. The curves are often most easily observed when as child is asked to bend forward in standing as if to touch their toes. Other clues such as uneven shoulders or hips, one shoulder blade sticking out, or the appearance that one leg is longer than the other are all clues that someone has a scoliosis. This can vary from being very subtle to being very obvious.
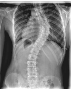
An x-ray is needed to confirm the diagnosis and to assess the extent of the curve(s). Doctors assess how advanced a scoliosis is by measuring the ‘Cobb angle’. A curve of 10° or more on an x-ray is considered scoliosis.

What happens following diagnosis?
Children with scoliosis are usually seen for a check up with a paediatric spinal consultant every 3-12 months. The frequency will depend upon the child’s age, rate of growth and skeletal maturity. The more skeletally mature a child is, the less likely it is that the curve will develop. A more skeletally mature child will therefore require less monitoring than a less skeletally mature child. A curve that appears to be developing more rapidly will require more frequent monitoring to determine if any intervention is required.
A child’s state of skeletal maturity is usually determined by looking at how closed the growth plates are on x-rays of the pelvis and hands.
Treatment options
Treatment depends on the extent of the curve as determined by the Cobb angle and stage of skeletal maturity. Treatment typically consists of:
- Physiotherapy: typically consisting of stretching and strengthening exercises- more on this below!
- Bracing: for moderate curves in growing children. Braces help reduce progression but don’t straighten the spine.
- Surgery: for large or rapidly worsening curves (typically 45–50°+). This is not common, but can be important for long-term function and alignment.
Most children and teens will not require surgery.
Physiotherapy for Scoliosis
Physiotherapy is a key part of scoliosis care and can benefit almost every child or teen with the condition irrespective of the severity.
Physiotherapy helps with:
- Posture and alignment
- Strength and flexibility
- Rib expansion and breathing
- It is helpful adjunct to bracing
- Confidence & helping children remain active
- surgical rehabilitation
What Parents & Teens Can Do Now
- If you notice your child has: a unusual shape to their back (lower or mid/upper back), uneven shoulders, ribs or waist or asymmetry in their leg length get it checked early by a GP or physiotherapist that works with paediatrics
- Keep an eye on their posture during rapid growth periods
- Encourage regular physical activity — movement is safe and helpful
To conclude, if you suspect your child has scoliosis it is always worth getting them checked in case intervention is required. Most cases are mild but the deterioration can be at times rapid so it’s best to err on the side of caution. You can read about other causes of back pain in children here.
Got questions about scoliosis or want to book your child in for an assessment? We’re here to help. Call our friendly reception team on (0114) 267 8181 or email us at [email protected].
